12 - 13 September, 2026

Rezessionsdeckung:
Grundlagen und Techniken

Ein praxisorientierter Intensivkurs zur chirurgischen Behandlung von Gingivarezessionen und zum sicheren Umgang mit Weichgewebe.

Der Kurs kombiniert strukturierte Theorie mit umfangreichen Hands-on-Übungen und vermittelt sofort umsetzbare Techniken für den klinischen Alltag.

Enthalten sind zwei volle Kurstage mit praktischen Übungen, Kursmaterialien, Teilnahmezertifikat, 20 CME-Punkten, Kleingruppenformat und direktem Feedback durch den Referenten.

Investition in deine chirurgische Weiterentwicklung

1.490 € (zzgl. MwSt.) Early Bird bis 15.06.2026
1.820 € (zzgl. MwSt.) regulärer Preis

Rezessionsdeckung: Grundlagen und Techniken
Sale-Preis: 1.490,00 € Ursprünglicher Preis: 1.820,00 €

Ein praxisorientierter Intensivkurs zur chirurgischen Behandlung von Gingivarezessionen und zum sicheren Umgang mit Weichgewebe.

Der Kurs kombiniert strukturierte Theorie mit umfangreichen Hands-on Übungen und vermittelt sofort umsetzbare Techniken für den klinischen Alltag.

Begrenzte Plätze
für Maximum Lerneffekt

20 CME Punkte

Kurse + Vorteile

Was du lernst

  • Anatomie des Gaumens sicher verstehen und klinisch anwenden

  • Verschiedene Entnahmetechniken für Bindegewebe gezielt auswählen und durchführen

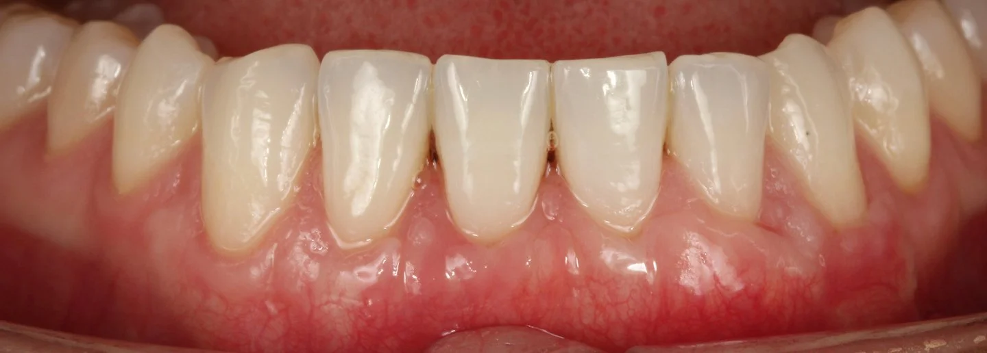
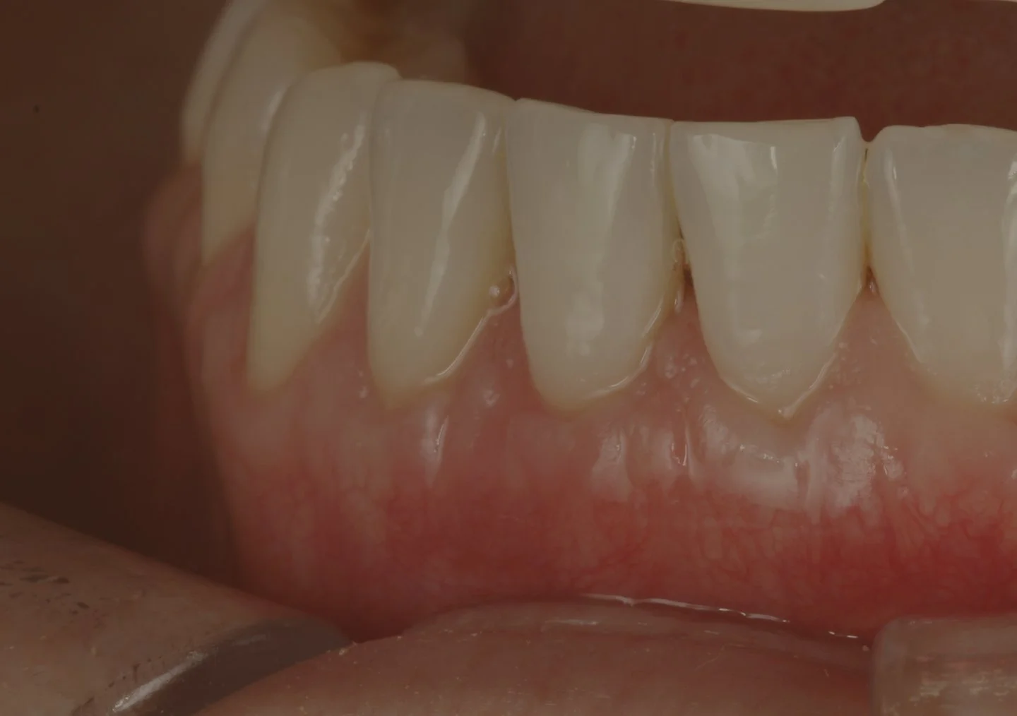
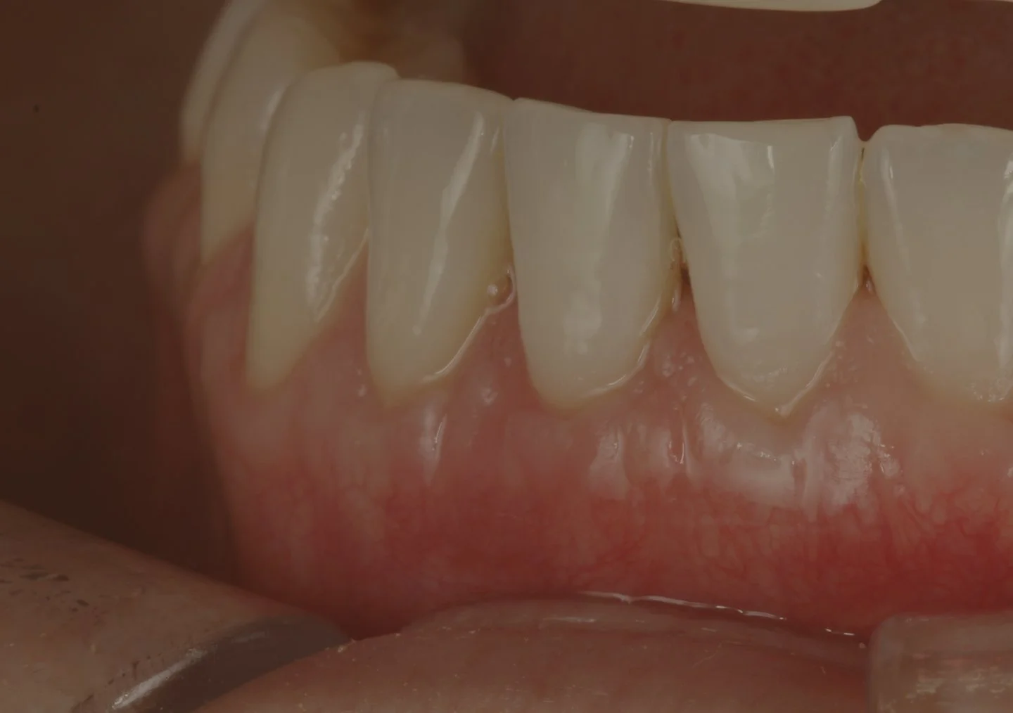
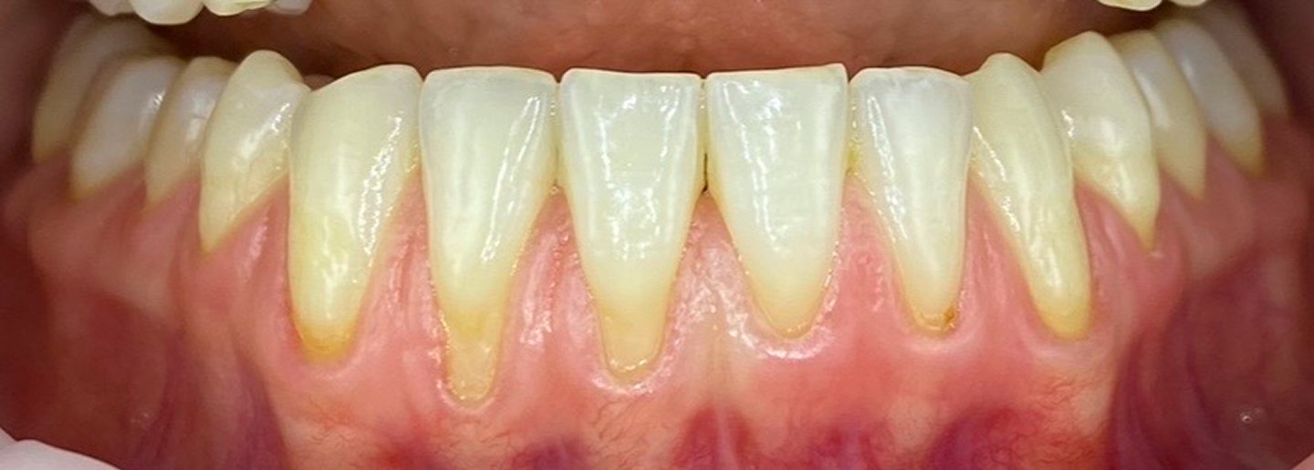
  • Gingivarezessionen korrekt klassifizieren und Behandlungsstrategien planen

  • Geeignete chirurgische Techniken je nach Defekt wählen

  • Moderne Nahttechniken sicher anwenden

  • Komplikationen erkennen und effektiv managen

  • Vorhersagbare ästhetische Ergebnisse erzielen

  • Patienten optimal beraten und den Heilungsverlauf steuern

Was macht den
Kurs besonders

  • Fokus auf Praxis und intensives Hands-on

  • Klare Schritt-für-Schritt Protokolle

  • Kleine Gruppen für maximale Lernkurve

  • Persönliches Feedback

  • Kursskript zur Wiederholung der Kursinhalte

Für wen ist
der Kurs ideal

  • Zahnärzte mit Interesse an mukogingivaler Chirurgie

  • Chirurgisch und Implantologisch tätige Behandler

  • Fortgeschrittene, die ihre
Ergebnisse verbessern wollen

Was du nach
dem Kurs kannst

  • Rezessionen sicher analysieren und entscheiden, was wirklich sinnvoll ist

  • Bindegewebstransplantate effizient und kontrolliert entnehmen

  • Rezessionsdeckung souverän durchführen

  • Nahttechniken präzise anwenden

  • Komplikationen vermeiden und lösen

  • deine Ergebnisse sichtbar verbessern

  • deine Patienten zu mehr Komfort und Ästhetik verhelfen.

Kursprogramm

Tag 1

  • Anatomie des Gaumens und klinische Relevanz

  • Bindegewebstransplantate
    Entnahmetechniken

  • Materialien und Alternativen

  • Ätiologie und Klassifikation von Rezessionen

  • Behandlung von Rezessionen bis 4 mm

  • Wundversorgung und Nahttechniken

  • Komplikationsmanagement

  • Hands On (Schritt-für-Schritt)

    • Entnahmetechniken (de-Ep FGG/Single Incision/HOT)

    • Gaumenversorgung

    • Tunneltechnik + Modifikationen (VISTA)

    • Nahttechniken

    • Fallplanung

Tag 2

  • Behandlung von Rezessionen >4 mm

  • Erweiterte chirurgische Verfahren

  • NCCL und Wurzelmodifikation

  • Fallauswahl und Behandlungsplanung

  • Heilungsverlauf und Patientenmanagement

  • Tipps & Tricks aus der Praxis

  • Hands On (Schritt-für-Schritt)

    • CAF + Variation (Zucchelli/Bruno/TCAF)

    • Lateral geschlossener Tunnel + lateraler Verschiebelappen

    • Nahttechniken

    • Fallplanung

Kurslocation

Im Kaisersaal erleben Sie Fortbildung in besonderem Rahmen. Hochwertiges Design, moderne Technik und eine ruhige Umgebung schaffen ideale Bedingungen für konzentriertes Arbeiten und nachhaltiges Lernen.

MVZ Zahnärzte im Kaisersaal
Kurfürstendamm 193D
10707 Berlin

Über den
Kursleiter

Zahnarzt & Kursleiter für Zahnmedizin Kurse

Omar Elattar

Zahnarzt mit besonderem Schwerpunkt auf Implantologie und mukogingivaler Chirurgie.

Mit seinem Master im Bereich Implantologie und Parodontologie sowie durch die Teilnahme an verschiedenen internationalen Fortbildungen in der PA-Chirurgie verfügt Omar Elattar über eine spezialisierte fachliche Grundlage. Ergänzt durch seine eigene umfassende klinische und operative Erfahrung hat er einen präzisen, praxisnahen und ästhetisch orientierten Behandlungsansatz entwickelt.

In seiner täglichen Arbeit verbindet er chirurgische Sorgfalt mit funktionellen und ästhetischen Behandlungskonzepten, die nachhaltig und im Praxisalltag zuverlässig umsetzbar sind. In der MX+ Academy vermittelt er moderne Techniken, klare Protokolle und praxisrelevantes Wissen für vorhersagbare klinische Ergebnisse.


Fragen vor der Buchung? Schreib uns direkt!

Das Logo der Apotheke mit einem weißen Kreuz auf schwarzem Hintergrund.

DigitalZahn GmbH
Kurfürstendamm 193D
10707 Berlin

Tel.: +4915129724960
E-Mail: info@mxplus.org

AGB